健康讲堂

关于染色体核型分析,您了解多少?

文章来源:分子生物实验室  作者:钟芳芳 发布时间:2023-12-22 阅读次数:

关于染色体检查,大家可能不太了解,觉得自己都健健康康的,为什么要做这项检查呢?其实,染色体是遗传物质,一个人看起来健康,不能代表他的染色体也是正常的,例如染色体平衡易位、倒位、罗氏易位的人,他们看起来都是正常的,可是在生育后代的时候会出现不孕、复发性流产、胎停或者生育智力障碍、发育落后、行为异常的后代。这也是为什么要进行染色体检查的原因之一。

所以染色体检查到底是什么什么情况需要做这个检查?我们就来了解一下吧。

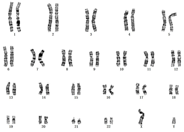
一、什么是染色体核型分析

图片1.png 

染色体是遗传物质是基因的载体,是细胞在有丝分裂或减数分裂时DNA存在的特定形式,携带着我们人类几乎所有的遗传信息。

图片4.png 

人的染色体有2346条),1-22对是常染色体,男女都有,第23对是性染色体,女性为两条X染色体,男性为一条X和一条Y染色体。

正常女性染色体核型.png  

正常女性染色体核型(46,XX

正常男性染色体核型.png 

正常男性染色体核型(46,XY

染色体核型分析是一种用于检测染色体疾病的遗传学检查,是指将待测细胞的染色体依照该生物固有的染色体形态结构特征,按照一定的规定,人为的对其进行配对、编号和分组,并进行形态分析的过程,目的就是为了发现和诊断染色体异常引起的疾病。

染色体在结构或数量上的异常被称为染色体异常,由染色体异常引起的疾病为染色体病。目前临床已知的染色体病约有300余种,染色体病在临床上常可造成不孕、复发性流产、先天愚型、先天性多发畸形以及癌症等。 

部分常见的染色体数目异常核型图

经典型唐氏综合征.png 

经典型唐氏综合征(47,XY,+21

单体型特纳综合征.png 

单体型特纳综合征(45,X

根据检测目的和检测标本的不同,染色体核型分析的种类大致可分为外周血、骨髓、羊水、脐带血、绒毛和胸腹水的染色体核型分析。常见的有外周血细胞染色体核型分析、羊水细胞染色体核型分析和骨髓细胞染色体核型分析。

外周血染色体核型分析应用普及最广,主要用于不孕不育、优生优育和染色体畸形综合征的筛查。检查需要抽取3mL肝素钠抗凝静脉血进行淋巴细胞培养,抽血前无需空腹,但最好在未服用抗生素类、激素及其他免疫抑制类药物情况下抽取,否则易影响外周血淋巴细胞的培养结果。

二、什么情况需要检查染色体核型?

1.生育障碍

原发性不育/孕症、复发性流产、早期胚胎停止发育、死胎和畸形胎儿史等有生育异常的夫妇中至少有7%~10%是染色体异常的携带者,有这些临床问题的夫妇应该双方都进行染色体核型检查。

2.性发育异常

女性原发性或继发性闭经、性征发育不良、卵巢早衰;男性睾丸发育不良,严重少弱精或无精子症;性腺发育不良;内外生殖器畸形。

3.先天性多发畸形

临床上以多发性畸形和智力低下为主要特征,同时常伴有多个临床特征,如面容异常、发育迟缓等。

4.白血病等恶性肿瘤

染色体畸变可能导致恶性肿瘤,如在慢性粒细胞白血病患者中,大约95%的患者染色体检查出现费城染色体(Ph染色体),成为诊断依据和作为疗效和预后的参考指标。

5.接触过有害物质

辐射、化学药物、病毒等可引起染色体的断裂,畸变发生在体细胞可引起相应的疾病,如肿瘤;畸变发生在生殖细胞可引起流产、死胎、胎儿畸形等。

6.辅助生殖治疗前期检查

目前染色体检查被列为人工授精或试管婴儿治疗前建议筛查项目,对提高辅助生殖成功率、减少流产发生、减少出生缺陷具有重要意义。

 

 

 

关于染色体核型分析,您了解多少?

文章来源:分子生物实验室  作者:钟芳芳 发布时间:2023-12-22 阅读次数:

关于染色体检查,大家可能不太了解,觉得自己都健健康康的,为什么要做这项检查呢?其实,染色体是遗传物质,一个人看起来健康,不能代表他的染色体也是正常的,例如染色体平衡易位、倒位、罗氏易位的人,他们看起来都是正常的,可是在生育后代的时候会出现不孕、复发性流产、胎停或者生育智力障碍、发育落后、行为异常的后代。这也是为什么要进行染色体检查的原因之一。

所以染色体检查到底是什么什么情况需要做这个检查?我们就来了解一下吧。

一、什么是染色体核型分析

图片1.png 

染色体是遗传物质是基因的载体,是细胞在有丝分裂或减数分裂时DNA存在的特定形式,携带着我们人类几乎所有的遗传信息。

图片4.png 

人的染色体有2346条),1-22对是常染色体,男女都有,第23对是性染色体,女性为两条X染色体,男性为一条X和一条Y染色体。

正常女性染色体核型.png  

正常女性染色体核型(46,XX

正常男性染色体核型.png 

正常男性染色体核型(46,XY

染色体核型分析是一种用于检测染色体疾病的遗传学检查,是指将待测细胞的染色体依照该生物固有的染色体形态结构特征,按照一定的规定,人为的对其进行配对、编号和分组,并进行形态分析的过程,目的就是为了发现和诊断染色体异常引起的疾病。

染色体在结构或数量上的异常被称为染色体异常,由染色体异常引起的疾病为染色体病。目前临床已知的染色体病约有300余种,染色体病在临床上常可造成不孕、复发性流产、先天愚型、先天性多发畸形以及癌症等。 

部分常见的染色体数目异常核型图

经典型唐氏综合征.png 

经典型唐氏综合征(47,XY,+21

单体型特纳综合征.png 

单体型特纳综合征(45,X

根据检测目的和检测标本的不同,染色体核型分析的种类大致可分为外周血、骨髓、羊水、脐带血、绒毛和胸腹水的染色体核型分析。常见的有外周血细胞染色体核型分析、羊水细胞染色体核型分析和骨髓细胞染色体核型分析。

外周血染色体核型分析应用普及最广,主要用于不孕不育、优生优育和染色体畸形综合征的筛查。检查需要抽取3mL肝素钠抗凝静脉血进行淋巴细胞培养,抽血前无需空腹,但最好在未服用抗生素类、激素及其他免疫抑制类药物情况下抽取,否则易影响外周血淋巴细胞的培养结果。

二、什么情况需要检查染色体核型?

1.生育障碍

原发性不育/孕症、复发性流产、早期胚胎停止发育、死胎和畸形胎儿史等有生育异常的夫妇中至少有7%~10%是染色体异常的携带者,有这些临床问题的夫妇应该双方都进行染色体核型检查。

2.性发育异常

女性原发性或继发性闭经、性征发育不良、卵巢早衰;男性睾丸发育不良,严重少弱精或无精子症;性腺发育不良;内外生殖器畸形。

3.先天性多发畸形

临床上以多发性畸形和智力低下为主要特征,同时常伴有多个临床特征,如面容异常、发育迟缓等。

4.白血病等恶性肿瘤

染色体畸变可能导致恶性肿瘤,如在慢性粒细胞白血病患者中,大约95%的患者染色体检查出现费城染色体(Ph染色体),成为诊断依据和作为疗效和预后的参考指标。

5.接触过有害物质

辐射、化学药物、病毒等可引起染色体的断裂,畸变发生在体细胞可引起相应的疾病,如肿瘤;畸变发生在生殖细胞可引起流产、死胎、胎儿畸形等。

6.辅助生殖治疗前期检查

目前染色体检查被列为人工授精或试管婴儿治疗前建议筛查项目,对提高辅助生殖成功率、减少流产发生、减少出生缺陷具有重要意义。